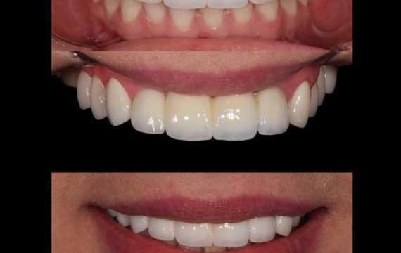
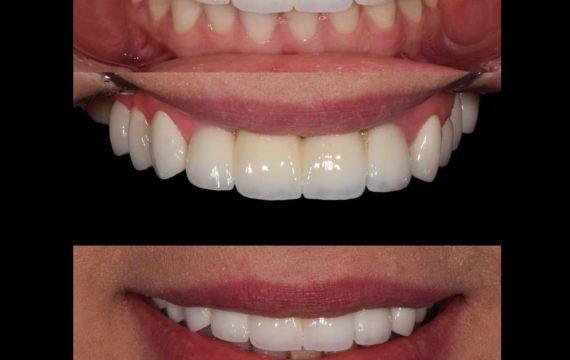
Laboratory/Cases With the privilege of having our own Dental Laboratory, we have consistently produced dental cases on a faster and efficient manner. See images Implants, Crowns, Veneers and Bridges Cases Having one of the best prosthodontists and implantologists in Abu Dhabi, we have made our reputation as one of the best dental clinics for tooth replacement services. See images